-자동화된 검사 기능으로 일관적인 검사 과정 및 최적의 영상 품질 확보
-모바일 기기 기반 효율적인 환자 응대 및 편의성 향상
![]() |
| ▲소마톰 고 탑 (SOMATOM go.Top) |
혁신적인 의료기술의 선두기업인 지멘스 헬시니어스가 최신 128채널 CT장비 “소마톰 고 탑 (SOMATOM go.Top)”의 신규 버전인 VA40을 출시했다.
최신 지능형 영상획득 알고리즘을 탑재한 차세대 128채널 첨단 CT 장비인 소마톰 고 탑 VA40 버전은 기존의 소마톰 고 탑 시리즈에서 한층 더 업그레이드되어 출시된 최신 CT 모델로 △’어드마이어(ADMIRE)‘ 반복 재구성법을 통한 최적의 영상 품질 지원, △방사선량 최소화 기술, △인텔리전트 기술을 활용한 검사 과정의 자동화, △모바일 기기 기반 편의성 증대를 특징으로 한다.
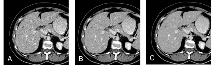
소마톰 고 탑은 신규 버전부터 인텔리전트 통계 모델을 활용해 영상의 노이즈 및 아티팩트를 제거하는 어드마이어 반복 재구성법을 사용한다. 해당 기술을 통해 적은 방사선량만으로도 영상 내 저밀도의 조직도 더욱 쉽게 구별 가능하고 각 신체조직별 선명도와 모습을 다양하게 확인할 수 있다.
128개의 채널은 튜브에서 발생한 X-선을 받아들이는 검출기의 개수로, 수가 많을수록 방사선량과 검사시간은 단축되고 영상 품질은 향상된다. 이에 더해 지멘스 헬시니어스만의 특수 필터를 사용함으로써 일반 X-선 촬영 수준의 저방사선량으로 3차원의 CT영상 획득 및 정밀검사가 가능하다. 또한, 최대 825mA의 강력한 엑스레이 튜브도 탑재하여 낮은 관전압을 이용해 소량의 조영제만으로 검사가 이뤄지기 때문에 기존 CT장비보다 조영제 사용량이 적고 신장기능저하 환자에게도 부작용을 최소화해 보다 안전한 검사를 제공할 수 있다.
![]() |
| ▲각 FBP(A), SAFIRE(B), ADMIRE(C) 기술 적용 예시 |
이와 더불어 “마이이그젬 컴패니언(myExam Companion)” 이라는 인텔리전트 스캔(Intelligent Scan) 기능을 탑재하여 수천 건의 스캔 및 프로토콜에 대한 요약된 지식을 기반으로 최적의 패턴을 인식하여 의사결정을 지원한다.
이로써 사용자의 기술적 숙련도에 상관없이 영상획득 과정의 일관성을 제공하고 다양한 조건의 고난이도 환자 검사에서도 최적의 영상 품질을 제공할 수 있다는 큰 장점을 가지고 있다. 특히, 시간대별 근무자가 변경되는 상황이나 다양한 응급 검사가 필요한 환경에서도 안정적인 장비 운영 및 일관된 품질의 영상 획득을 통해 정확한 검사가 가능하다. 검사 속도도 향상되어 동일한 시간 내에 검사할 수 있는 환자의 수도 더욱 증대되었다.
이러한 자동화 기능은 빠른 진단이 필요한 외상응급환자, 소아환자, 신부전환자, 중환자 등에게 신속하고 정확한 진단 결과를 제공할 수 있으며 0.33mm의 미세한 병변에 대한 검출능력을 기반으로 뇌신경, 심장, 복부, 근골격계를 비롯한 모든 영상의학 분야에 적용 가능하다.
소마톰 고 탑은 태블릿 PC를 활용한 모바일 워크플로우(Mobile Workflow) 기능도 지원한다. 모바일 기기를 활용해 환자를 더욱 가까이에서 응대할 수 있어 피검자의 심리적 안정감을 도모할 수 있다. 무선 조작 기능과 함께 검사 준비 시간도 단축되어 기존 CT 장비에서 제공할 수 없었던 운영 효율성과 편의성이 극대화되었다. 이에 더해 해당 기기를 도입하는 경우 지속적인 항상성 유지 관리 프로그램인 ‘어드밴스드 나우(Advanced Now)’를 통해 장비의 정기적 업데이트를 포함한 본사 지원이 제공된다.
![]() |
| ▲지멘스 헬시니어스 로고 |
지멘스 헬시니어스 한국법인 영상진단사업본부 최준봉 이사는 “이번 소마톰 고 탑 VA40 버전의 신규 출시는 단순한 버전의 변경이 아닌 그 이상으로 기존 대비 기능과 성능적 향상 극대화에 초점을 맞추었으며 이를 통해 지멘스 헬시니어스는 선도적인 CT 영상 촬영 기술을 한 단계 더 높이게 되었다. 반복적 영상 재구성법 등 다양한 최신 기술을 겸비한 해당 제품은 의료진과 환자를 위해 더욱 신속 정확하고 안전한 검사를 지원할 것이며 지속적인 관리와 업데이트 서비스를 통해 각 의료기관들이 최적의 운영 환경을 유지할 수 있도록 끊임없이 노력해 나갈 것이다” 고 말했다. [로컬세계 = 마나미 기자]
[저작권자ⓒ 로컬(LOCAL)세계. 무단전재-재배포 금지]
































